신촌 세브란스 치과병원 가는 법과 대중교통, 셔틀버스에 관해 안내한다. 선천적 영구치 결손인 나의 상태에 치아이식, 교정이 적합한지 확인해보고 치료 계획을 수립했다.
지난 게시글
영구치 결손 치료 ① 임플란트, 자가치아이식, 교정 중 내가 선택한 방법은?
영구치 결손 치료 ① 치과 진료 히스토리, 치료 방법 및 병원 선정 이빨 없는 자의 설움 반갑다, 솔샘이다. 그대들은 '선천적 영구치 결손'에 대해 들어본 적이 있는가? 본인은 하악(아래턱)의 어
solsaem20.tistory.com
신촌 세브란스 치과병원 온라인 예약
초진 예약 시 세브란스병원 전화로도 예약이 가능하고 홈페이지에서 온라인으로 예약할 수도 있다. 진료과, 의료진을 확인 후 진료 날짜, 일시를 선택하면 된다. 교수님의 진료를 원할 시 인터넷으로는 불가능하고 직접 전화를 해야 하는데 왠지 모르게 부담스러워서 다른 전문의 분으로 예약했다.
치과대학병원
연세대학교 치과대학 치과대학병원에서는 환자들이 진료과, 클리닉, 전문센터의 의료진 정보를 통해 진료 예약을 할 수 있으며, 예약현황, 검사결과, 약처방정보 등의 내역을 볼 수 있는 MY세브
dental.severance.healthcare
예약 후에는 휴대폰으로 예약 확인 메시지를 전송받게 된다.
신촌 세브란스 치과병원 가는 법
연대는 여러 번 가봤지만 내가 병원 때문에 갈 줄은, 그것도 20대에 갈 줄은 정말 몰랐다... ^^; (그렇다. 난 연대생이 아니다. 흑...)

신촌 세브란스병원은 연대 동편, 이대 후문 쪽에 위치해있고 경의중앙선 신촌역과 인접해있다. 하지만 경의중앙선 지선 신촌역은 배차가 극악이고 파주, 고양, 상암동 인근 거주자이거나 서울역에 갈 일이 있지 않은 이상 경의선을 타고 방문하기는 좀 동선이 애매하다. 열차 시간에 딱 맞춰 방문하는 것도 불편하고. 난 무슨 파업하는 줄 알았다...
편하게 2호선 신촌역에서 가는 것을 추천한다. 2호선 신촌역에서는 1km 좀 넘게 떨어져있고 거동이 불편한 환자가 아닌 이상 걸어가기에 멀거나 부담스러운 거리는 아니다.
무료 셔틀버스는 2호선 신촌역 1번 출구, 3호선 독립문역 1번 출구에서 운행하고 있다. 근데 젊은 사람이 신촌역에서 셔틀을 타기에는 좀 우스운 거리랄까? 신촌역에서 셔틀을 타면 좀 빙빙 돌아가는 느낌이 있다. 평일 배차는 7분이고 이동 시간은 정체가 극심하지 않을 시 10분 내외 소요되며 일요일, 공휴일에는 운행하지 않는다. 자세한 사항은 아래 홈페이지 참조.
위치 및 오시는 방법 | 치과대학병원
세브란스병원 위치 및 오시는 길에 대한 정보입니다.
dental.severance.healthcare
경의중앙선 지선 신촌역 2번 출구로 나오면 오른쪽에 이대가 보이는데 거기 말고 왼쪽으로 가면 된다. 근데 지상 신촌역은 이번에 처음 가봤는데 이렇게 을씨년스럽고 휑한 민자역사는 처음 봤다... 역시 아무도 안 가는 데는 다 이유가 있다.

신촌역에서 왼쪽으로 걸어 나오면 육교가 보이는데 여길 건너서 북측으로 올라가면 된다.






세브란스 본관 뒤쪽의 건물이 치과대학병원이다.
신촌 세브란스 치과병원 초진
초진일 경우 치과대학병원 2층에서 접수해야 한다.


2층에 올라가 번호표를 뽑고 대기하다가 안내·서류·영상발급센터(원무과)에서 초진 접수를 하면 된다.

안내 데스크에서 진료비 수납 후 영수증과 세브란스 진료카드를 수령해 예약한 진료과로 접수하면 된다. 데스크의 직원이 어디로 가면 되는지 안내해준다. 정리하자면 아래와 같다.
[초진 접수 절차] 2층 번호표 발급 ▶ 초진 접수 ▶ 진료비 수납, 진료카드 발급 ▶ 진료과 방문
치과보존과 진료
4층 치과보존과 데스크에 가 접수하고 대기하다가 인턴 분과 예진을 진행했다.


인턴 분이 치아의 문제와 상태를 파악하고 컴퓨터로 입력했다. 본인은 임플란트를 원하지 않았기 때문에 치아이식이나 교정으로 해결할 수 있는지 진단받고 싶다고 문의했다.
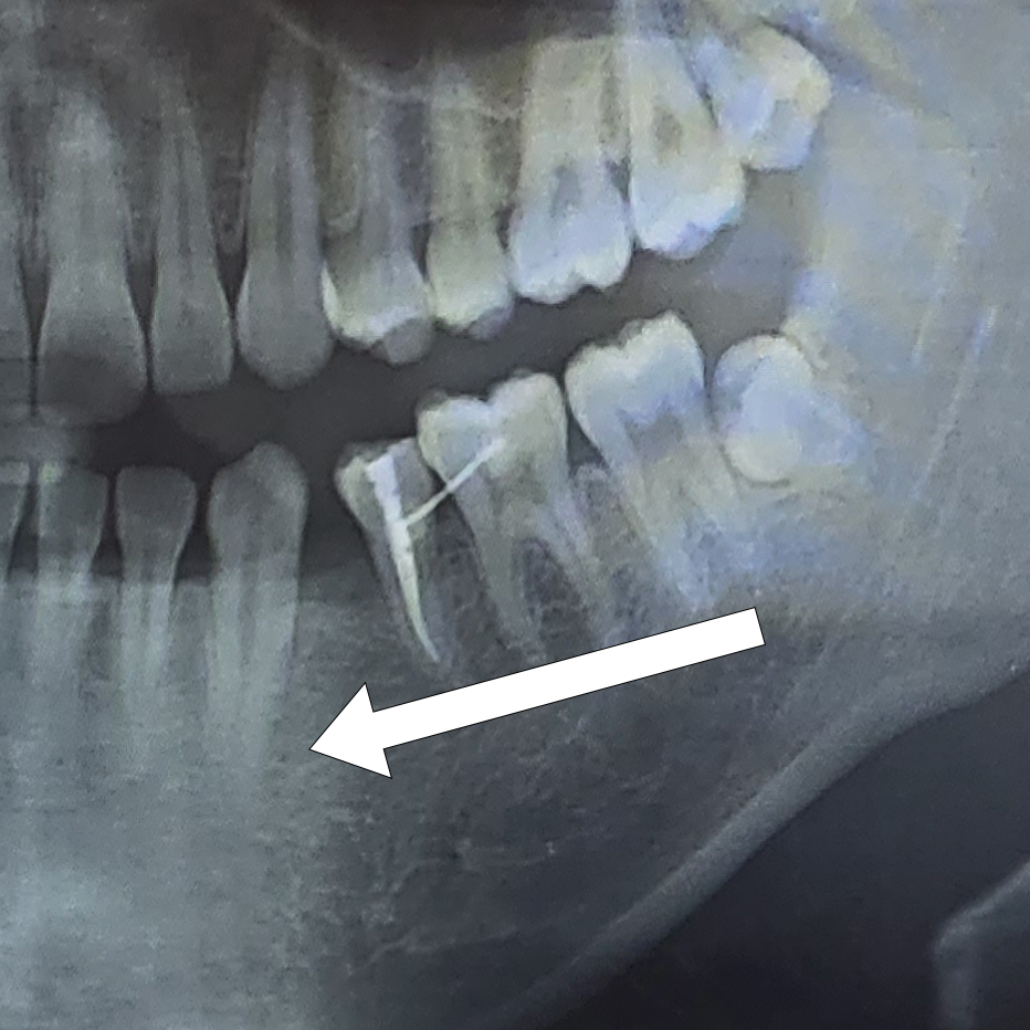
예진을 마치고 전반적인 치아를 점검하기 위해 엑스레이 촬영을 하러 같은 4층인 영상치의학과에 갔다. 접수할 때는 진료안내문을 데스크에 올려놓고 의자에 앉아 대기하면 순서가 될 때 이름을 불러주신다.

엑스레이 촬영 뒤 보존과로 가 진료를 받았다. 결과적으로 임플란트 대신 사랑니 이식으로 유치가 빠진 자리를 메우려던 내 야심 찬 결과는 개같이 멸망했다.
보존과 선생님이 말씀하신 본인의 자가치아이식이 불가능했던 이유는 다음과 같다. 우선 내 사랑니 크기와 결손 부위의 크기가 맞질 않았다. 사랑니 크기가 결손 부위의 공간에 비해 컸던 것이다. 그리고 너무 오래 전인 중학교 1학년 때 유치가 빠진 지라 결손 부위의 잇몸 뼈가 많이 얇아졌다.
보존과 선생님은 임플란트가 가장 나을 것 같다고 말씀하셨고 원할 경우 교정과에서 진단을 받아보라 권하고 자리를 떠나셨다. 선생님은 매우 친절하셨는데 내 계획이 틀어져(될지 안 될지도 모르는 치과알못 문외한의 허황된 망상) 왠지 모르게 꿍해졌다. 그렇게 하기 싫었던 임플란트를 정말로 해야 할지도 모르는 것이니 말이다. 간호사 분이 본원의 교정과 진료를 받을지 다른 치과로 갈지 물어보셨는데 한 10초 동안 고민하고 '그래도 여기까지 왔으니 끝장을 보겠다.'는 마음으로 세브란스 교정과 진료를 받기로 결정했다.
치과교정과 진료
4층 치과보존과 데스크에 가 접수했고 먼저 레지던트 분과 진료를 하게 되었다. 엑스레이 사진을 보고 레지던트 선생님은 이가 빠진 자리를 어금니, 사랑니까지 끌어와 교정할 수 있을 것 같다고 의견을 주셨다.

여태껏 방문했던 치과 두 곳은 임플란트만이 유일한 방법인 것처럼 제시했다. 이후 성인이 되고 나서 임플란트가 하기 싫어 혹시나 하는 마음으로 찾아본 영구치 결손 치료 방법으로도 발치 교정, 사랑니 이식까지만 알고 있었다.
그런데 이번에 어금니, 사랑니를 끌어와 교정하는 방법을 처음 알게 되고 '아~', '오~' 이러면서 치료 방법이 더 있었다는 사실에 육성으로 감탄했다. 더 자세한 건 교수님과 진료를 해보고 확인하자고 말씀하셨고 이후 교수님도 만나 뵙게 됐다.

교수님이 엑스레이와 내 치아를 보고 진단한 결과 어금니, 사랑니를 끌어오는 교정이 가능하다고 말씀하셨다. 본인은 하악 좌측의 제1소구치가 결손돼 빠져버렸고 하악 우측의 제2소구치도 영구치는 없지만 유치로 버티고 있는 상태다.
내가 발치 교정을 하기에는 윗니의 치열이 매우 가지런하고 하악 우측의 제2소구치는 비록 유치지만 튼튼하게 자리잡고 있어서 뽑아내기에는 아깝다는 것이었다.
어금니 교정의 난관과 치료 결정
다만 본인이 어금니를 끌어오는 교정을 할 경우 여러 가지 문제점이 있기는 했다. 우선 치아 교정을 해도 치아의 중심선을 맞추기는 어려울 것이라고 했다. (나는 내 윗니와 아랫니의 치아 중심선이 맞지 않는다는 것을 이번에 처음 알았다.)
어금니를 교정으로 끌어오려면 어금니의 뿌리가 깊게 자리 잡은 데다가 어금니를 치아가 빠진 공간으로 하나씩 움직이느라 이동하는 데 시간이 오래 걸리고 아플 수 있다고 하셨다. 또 아랫니를 이동시키는 과정에서 뾰족한 아랫니가 윗니와 부딪힐 것이기 때문에 하악의 어금니를 깎아낼 필요가 있다고 한다.

원래 윗니와 아랫니는 지그재그 형태로 맞물려 있는데 내 경우에는 어금니를 이동시키다보면 이 지그재그 형태가 맞지 않을 가능성이 높다고 하셨다. 거기다 결손된 영구치 옆의 이(하악 좌측 제2소구치)는 신경치료를 한 상태인데 신경치료를 한 경우 교정이 불가능한 경우도 있다고 한다. 다행히 나는 가능할 것이라고 했다. 이런 이유들 탓에 교과서적으로 이상적인 치료 방법은 아니지만 영구치 결손을 치료하기 위해 시행할 것이라고 말씀해주셨다.

교정치료 초기에는 어금니를 하나씩 이동할 때 앞니를 지지대 삼아 당겨보고, 만약 앞니도 버티지 못하면 잇몸에 스크류를 박아 이동시킬 것이라고 한다. 사랑니 이동과 관련해서는 우선 경과를 보고 추후에 결정하시겠다고 했다. 교정 기간은 1년 반이나 그 이상이 걸릴 것이라고 한다.
어차피 본인은 수 년간 2군데의 치과를 다니며 치아 결손 부위가 비어있던 채로 지낸 지라 앞니까지 벌어져 임플란트를 하더라도 임플란트를 심을 공간을 다시 벌리고 앞니까지 치열을 바로잡는 교정이 필요했다. 어차피 임플란트를 한다고 해도 아랫니 전체를 교정해야 하는 그지같은 상황이었기에 여러 치료를 중복으로 할 바에 교정 하나로 끝내는 게 나을 듯싶었다.무엇보다 임플란트를 안 하게 되어 너무 기쁘다!
교수님께 유치가 빠진 부위를 교정으로 해결하는 방법이 결손 부위에 임플란트를 심는 것보다 기능적으로 부족하거나 떨어지는지도 여쭤봤다. 교수님의 답변은 나의 결손 치아는 작은 어금니라 딱히 저작 기능에 큰 기여를 하지 않기 때문에 무엇이 기능적으로 더 우월하며 열등하다고 할 수 없다는 것이었다. 그것은 나도 느끼고 있기는 했다. 이가 없어서 발생하는 문제가 있다면 빈 공간으로 자꾸 주변 치아가 무너지고 가끔 이가 뻐근하다는 것이었지 식사할 때 불편함을 겪지는 않았다. 비록 치아 하나가 없지만 음식을 씹고 뜯고 맛보는 데에는 전혀 지장이 없다! (씹고 뜯을 땐 앞니를 사용하니 말이다.)
부가적으로 현재 버티고 있는 오른쪽 아래턱의 유치에 대해서도 말씀해주셨다. 만약 하악 어금니가 빠져버린다면 교정은 못하니 그때는 임플란트를 하라고 하셨다. 파노라마 엑스레이 상으로 보이는 우측의 어금니는 크기가 크기 때문에 교정으로 당기기에는 무리가 있다고 한다.
사진 촬영, 교정 본뜨기
치아교정을 결정하고 나서 교정 장치 소재에 대해서도 설명을 들을 수 있었다. 티가 안 나는 하얀 소재와 티는 나더라도 가장 저렴한 메탈 소재 등이 있었다. 하얀 소재는 가격도 더 비싸고 어차피 본인은 아랫니 교정만 하기에 딱히 보일 일이 많지 않아 별 메리트가 없는 듯했다.
상상해보시라. 허여멀건 교정 장치 구석구석에 김치찌개, 된장찌개 국물과 조밀한 고춧가루 파티클을 묻혀놓고 아이코닉하며 팝한 음식물 찌꺼기의 감각적인 컬러와 아름다운 미학 및 나만의 빛나는 아이덴티티가 담긴 오브제 조형을 매일 만나는 사람들에게 강제 전시해대며 혐오스러움을 유발할 미래가 그려지는데 생각만 해도 너무 짜릿하지 않은가? 일단 똥을 싸라, 그러면 유명해질 것이다!
교수님과의 진료가 끝나고 치위생사님이 다음 진료 예약을 잡아주셨다. 치위생사님도 메탈을 선택하시길 권하셨고 나도 그렇게 선택했다.
이후 추가적으로 얼굴 사진 촬영과 전체 엑스레이를 촬영하고 교정 본을 뜨고 초진을 마무리했다.
진료비 수납 및 귀가
수납은 2층에 가서 진행하면 된다.

데스크 앞에서 번호표를 발행하고 기다리면 된다. 번호표를 발행할 때는 발급받은 진료카드를 찍어도 된다. 진료비, 검사료 등을 납부했고 교정 비용은 다음 진료 때 결제하게 된다.
초진 후기
확실히 세브란스에 오길 잘한 것 같다. 제대로 된 치과에서 확신한 진단과 치료를 받고 싶어 작은 개인 의원에 비해 비용 부담이 되더라도 과감히 예약했는데 지금까지는 성공적인 것 같다. 아직 교정은 하지도 않았다는 게 함정. 이걸 몰랐다면 나는 팔팔한 20대부터 굳이 임플란트 시술을 받았을지도 모른다.
다행히 대체 치료 방법을 찾게 되었고 친절하고 유능하신 의료진 분들 덕에 좋은 치료 방향을 설정하게 되었다고 생각한다. 병원이 크고 부서도 많았지만 안내도 잘해주셔서 진료 대기, 이동하는 내내 불편함을 느끼지도 않았다. 다음 진료가 기다려진다.
감각의 숲, 솔샘 / Build a better life
'일상의 샘' 카테고리의 다른 글
| 갤럭시S23 시리즈, 퀵쉐어 이용 방법 (2) | 2023.02.17 |
|---|---|
| 원주 뮤지엄산 단풍 구경 [가는 법 / 터미널 / KTX / 셔틀버스 정보] (3) | 2022.11.07 |
| 영구치 결손 치료 ① 임플란트, 자가치아이식, 치아교정 중 적합한 방법은? (2) | 2022.10.30 |
| 슈에무라 철수 기념 클렌징 오일 1,800mL, 43만 6천 원 FLEX (0) | 2021.09.13 |
| 애플 신학기 프로모션 아이패드 프로 4세대 12.9 주문 완료 (0) | 2021.01.11 |
댓글